Fresh breath, healthy gums, brighter smile. Gentle, professional dental cleaning in Kisumu.
Full-mouth cleanings and regular checkups are essential for healthy teeth and gums. Even with good brushing and flossing at home, plaque and tartar still build up especially in hard-to-reach areas. Professional cleaning removes these deposits, preventing cavities, bad breath, and gum disease.
Dentists recommend twice-yearly cleanings and checkups for everyone, starting around age 3. These visits keep your mouth fresh and let us spot early signs of issues like gingivitis before they become a problem.
At Kisumu Smiles Dental Center (United Mall, Wing A, 1st Floor), we provide gentle, professional dental cleaning for the whole family clear explanations, calm visits, and care that fits your life.
A professional dental cleaning isn’t just about polishing your teeth it’s about keeping your entire mouth healthy.
Our dentists in Kisumu recommend a full mouth cleaning every six months, starting from the age of three. These visits allow us to:
Remove plaque and tartar build-up that brushing can’t reach
Detect early signs of gum disease or cavities
Keep your teeth whiter and your breath fresher
Guide you on the best brushing and flossing habits for home care
A regular checkup helps us catch small issues before they become big (and costly) ones saving your smile and your peace of mind.
(Source: American Dental Association, 2024 – “Preventive Oral Care Guidelines”)
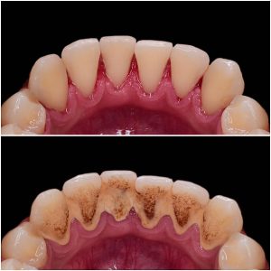
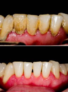
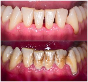
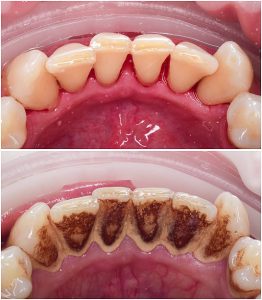
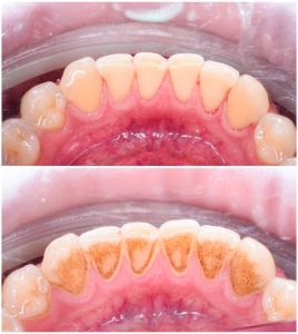
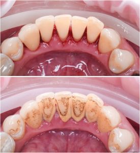
See the difference a single visit can make.






Learn what happens during a dental cleaning and the benefits it provides.
Our process is simple, gentle, and designed for comfort:
1️⃣ Oral Examination: We check your teeth and gums using a small mirror to spot tartar, cavities, or signs of gum inflammation.
2️⃣ Plaque & Tartar Removal: Using modern tools, we carefully remove plaque and tartar from your teeth and gum line.
3️⃣ Polishing: We polish your teeth to remove surface stains, leaving them smooth and shiny.
4️⃣ Flossing & Fluoride: We floss between your teeth and may apply fluoride for extra protection against decay.
The result? A cleaner, healthier mouth and a brighter smile that feels brand new.
(Source: Mayo Clinic Dental Health, 2023 – “Professional Cleaning Process”)
Regular cleanings aren’t just cosmetic they’re essential for long-term oral health.
✅ Prevent cavities and gum disease
✅ Brighten your smile naturally
✅ Remove stubborn stains and bad breath
✅ Detect early dental issues
✅ Boost your overall oral hygiene confidence
Even the best toothbrush can’t remove hardened tartar. That’s why professional cleanings are key to maintaining lifelong oral health.
(Source: American Academy of Periodontology, 2024)
There are two main types of dental cleaning and both serve an important purpose:
Basic Cleaning (Prophylaxis): A routine cleaning done to remove surface plaque and polish the teeth. Recommended every 6 months.
Deep Cleaning (Scaling & Root Planing): For patients with gum disease or heavy tartar buildup. It cleans under the gumline to stop infection and restore gum health.
Your dentist will let you know which cleaning is right for you based on your oral condition.
🦷 Experienced & Gentle Hygienists
Our team uses soft-touch techniques and advanced tools for comfortable cleanings.
💬 Personalized Care
We take time to explain every step and make sure you feel relaxed throughout the visit.
🏥 Modern Facility
Digital X-rays, ultrasonic scalers, and strict hygiene protocols ensure precision and safety.
👨👩👧👦 Family-Friendly Care
We provide cleanings for both adults and children so your whole family can enjoy healthier smiles together.
Whether it’s your child’s first dental visit or your regular checkup, our goal is the same to help you feel confident and comfortable every time you smile.
We make dental care gentle, simple, and stress-free, helping families across Kisumu enjoy brighter, healthier smiles for years to come.
Answers to commonly asked questions about dental cleaning in Kisumu.
Every 6 months, or as advised by your dentist. Some people may need more frequent visits depending on gum health.
No professional cleanings are gentle. You may feel slight pressure, but it shouldn’t be painful.
Scaling removes tartar buildup; polishing smooths and brightens your teeth afterward.
Yes cleaning removes surface stains, giving your teeth a noticeably brighter look.
Absolutely. Early cleanings prevent cavities and help kids build lifelong healthy habits.
Avoid very hot, cold, or colored foods for 24 hours if you received fluoride treatment.
Usually 30–45 minutes, depending on the amount of tartar and plaque buildup.
Plaque hardens into tartar, leading to gum disease, bad breath, and tooth decay over time.
Yes in fact, it’s encouraged by the American Dental Association for oral and overall health.
We offer affordable rates and accept insurance covers. Visit or call to learn more.
(Sources: ADA, CDC Oral Health Division, 2024)
Keep your teeth strong, your gums healthy, and your smile radiant all with a quick, gentle cleaning session at Kisumu Smiles Dental Center.
Kisumu Smiles Dental Center
Typically replies within minutes
Thank you for visiting us today. How can we help you?
WhatsApp Us
Online | Privacy policy
WhatsApp us